WEB予約 診療時間 instagram

症例集

Case

症例集|墨田区錦糸町の歯科|予防歯科・審美歯科・矯正歯科|ナオデンタルオフィス

ダイレクトボンディング

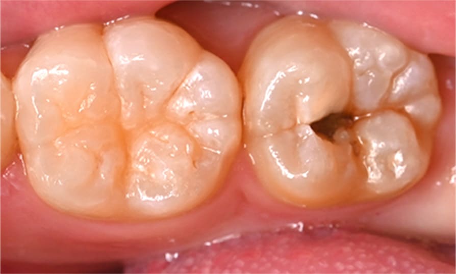
症例1

治療経過

  • 虫歯治療 治療経過1

    STEP1

  • 虫歯治療 治療経過2

    STEP2

  • 虫歯治療 治療経過3

    STEP3

  • 虫歯治療 治療経過4

    STEP4

治療内容
虫歯治療
ダイレクトボンディング(臼歯)
治療期間/回数
1日/1回
費用
33,000円
リスク/副作用
経年的に劣化、変色する可能性がある

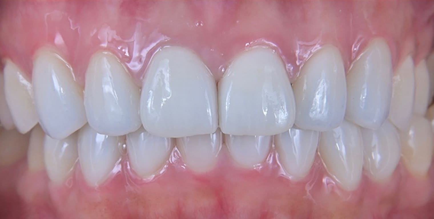
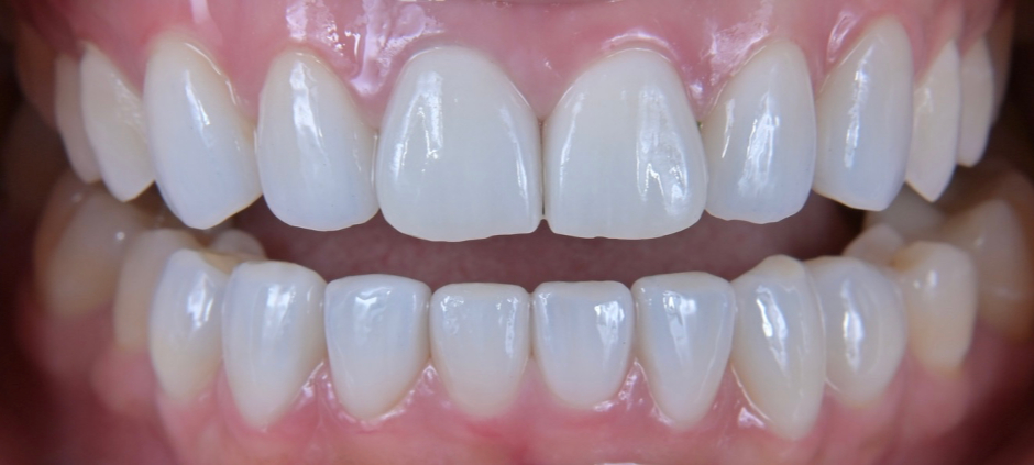
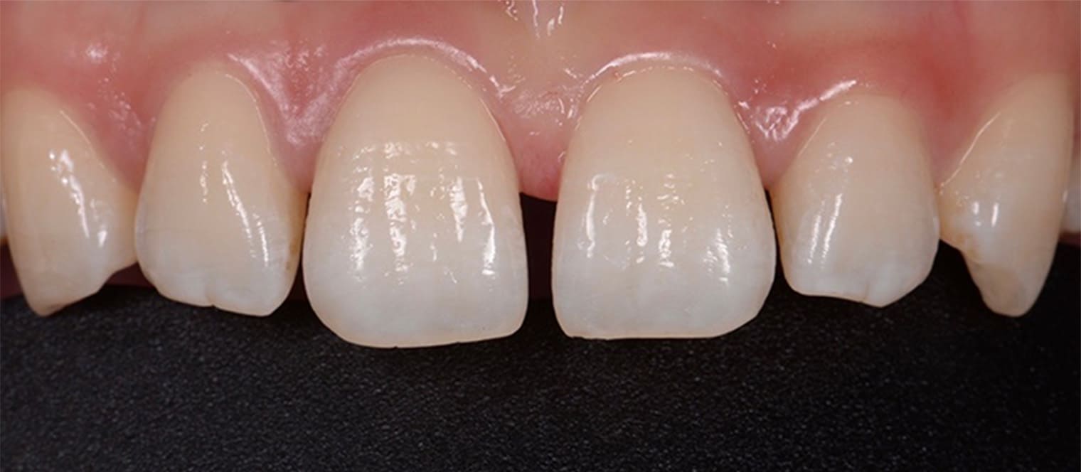
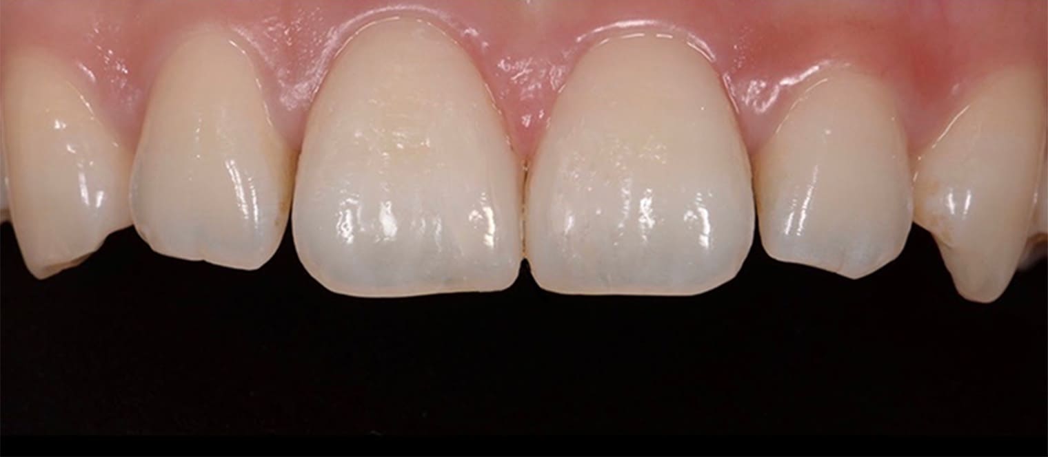
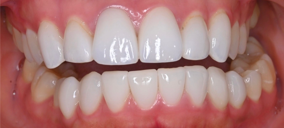
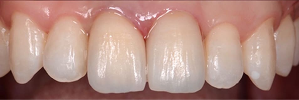
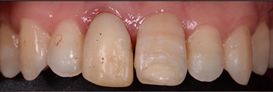
症例2

Before

審美治療 治療前

After

審美治療 治療後

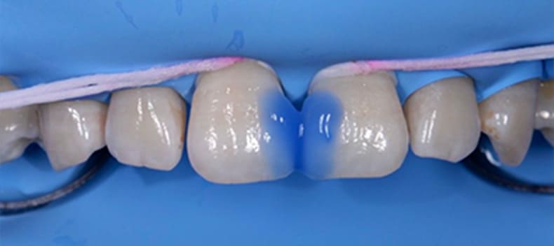
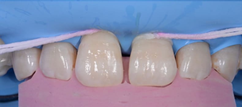
治療経過

  • 審美治療 治療経過1

    STEP1

  • 審美治療 治療経過2

    STEP2

  • 審美治療 治療経過3

    STEP3

  • 審美治療 治療経過4

    STEP4

治療内容
審美治療
ダイレクトボンディング(前歯/正中離開)
治療期間/回数
1日/1回
費用
33,000円(一箇所につき)
リスク/副作用
経年的に劣化、変色する可能性がある

セラミック

症例1

治療経過

  • 治療経過1

    STEP1

  • 治療経過2

    STEP2

  • 治療経過3

    STEP3

治療内容
セラミックを用いた審美治療
(ジルコニア・ラミネートベニア)
ホワイトニング
治療期間/回数
3ヶ月/8回
費用
1歯当たり12万円〜
リスク/副作用
補綴物、修復物の再製が必要になる可能性がある
ホワイトニング後の色の後戻りが起こる可能性がある

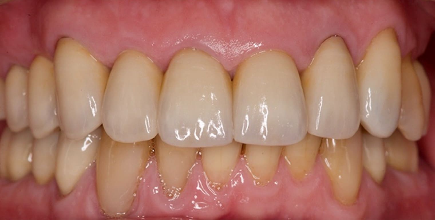
症例2

Before

治療前

After

治療後

Before

治療前

After

治療後
治療内容
他院で行ったセラミックに対しての再治療
セラミックを用いた審美治療
(ラミネートベニア)
マウスピース矯正
治療期間/回数
1年
費用
1歯当たり12万円〜/矯正
40万円〜
リスク/副作用
補綴物、修復物の再製が必要になる可能性がある
矯正後の歯の後戻りが起こる可能性がある

インプラント

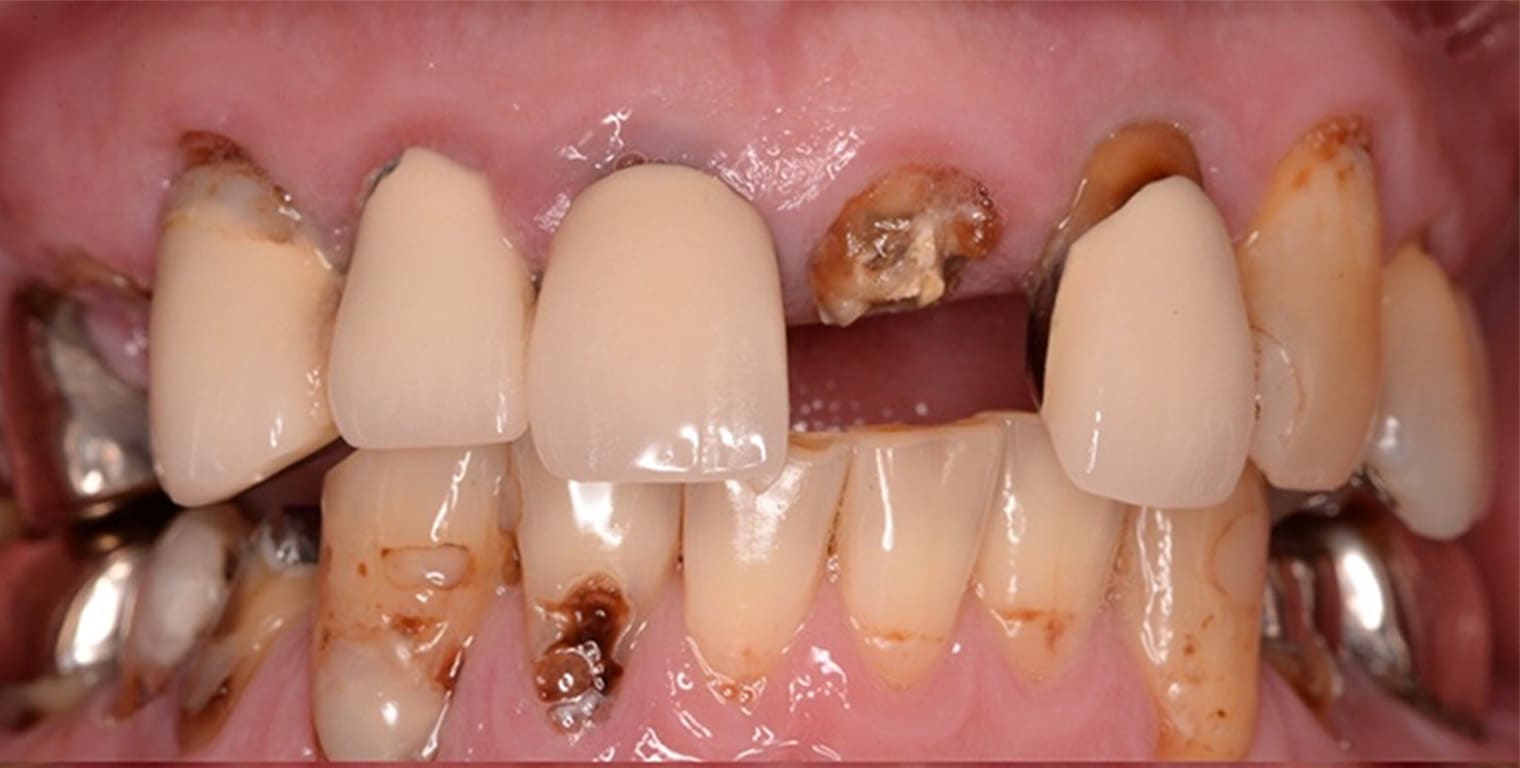
症例1

Before

全顎的な重度の虫歯治療 治療前

After

全顎的な重度の虫歯治療 治療後
治療内容
全顎的な重度の虫歯治療
インプラント治療
セラミックを用いた審美治療
治療期間/回数
半年程/15回
費用
1歯当たり12万円〜
リスク/副作用
補綴物、修復物の再製が必要になる可能性がある

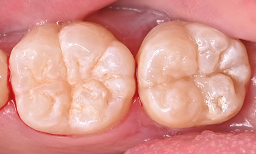
症例2

治療経過

  • 治療経過1

    STEP1

  • 治療経過2

    STEP2

  • 治療経過3

    STEP3

治療内容
インプラント治療
治療期間/回数
半年程/6回
費用
50万円〜
リスク/副作用
インプラント周囲炎を起こす可能性がある