当院では審美歯科治療を得意としております。精密審美治療は、丁寧に時間をかけて治療を行い、「精度の高い詰め物」「精度の高い被せ物」の治療を行うことにより、見た目が美しくなるだけではなく、再治療のリスクを大きく下げる(最大のメリット)ことが可能です。審美歯科治療にも、様々な治療方法の選択肢がありますので、是非ご相談くださいませ。
審美歯科
Cosmetic Dentistry
審美歯科
Cosmetic Dentistry
当院では審美歯科治療を得意としております。精密審美治療は、丁寧に時間をかけて治療を行い、「精度の高い詰め物」「精度の高い被せ物」の治療を行うことにより、見た目が美しくなるだけではなく、再治療のリスクを大きく下げる(最大のメリット)ことが可能です。審美歯科治療にも、様々な治療方法の選択肢がありますので、是非ご相談くださいませ。

審美歯科とは、「歯を白くしたい」「歯並びをきれいに整えたい」などの見た目の美しさを追求する審美的観点をプラスし、機能面の改善も併せて整えることを目的とする歯科治療です。「ただ白くきれいにする」だけではなく、その美しさをより長く維持させ、健康的な状態に維持させることも目的としています。
審美歯科治療を行うことによって、よりご自分の笑顔に自信が持て、よりお口の中が健康的になり、快適になることを実感して頂けると思います。
審美治療(自由診療)では、使用する材料に制限がありませんので、セラミックやジルコニアなどを用いて、審美性・耐久性に優れた補綴物を作ることが出来ます。
また被せ物や詰め物を作る型取りで使用する材料も自由診療でしか使用できないものを使います。そうすることにより、非常に精密な型取りを行うことができ、虫歯の再発を防ぐ可能性が高まります。
当院の精密審美治療では丁寧に時間をかけて行い、精度の高い詰め物、被せ物の治療を行うことにより、審美的に美しくなるだけではなく、再治療のリスクを大きく下げる(最大のメリット)ことができます!
クラウンとは、口腔内に装着する被せ物のことです。
このクラウンには、保険適応の金属製のものや適応外のセラミック製など様々なものがあります。クラウン治療は、中~大程度の大きさの虫歯に対して行います。神経まで進んだ場合の虫歯とそうでない虫歯では、治療回数が大きく異なります。
インレーとは、口腔内に装着する詰め物のことです。
インレーには、保険適応の金属製のものと適応外のセラミック製のものがあります。インレー治療は主に臼歯の治療に行います。小~中程度の虫歯になってしまったところを除去し、そこにインレーを入れることによって治療する方法です。
オールセラミック治療
オールセラミックインレーを用いた詰め物の治療
特徴
美しい色調と高い精度が特徴です。色調、ツヤの変化がなく、天然歯に対して高い再現性を有しているのが特徴です。プラークが付着しにくいため清掃性にも優れます。金属を使用しないため、金属アレルギーの心配もありません。最大のメリットは歯と接着する点です。特殊なセメントによって歯と一体化するため、虫歯に再罹患するリスクを大幅に減らすことができます。インレー(オーバーレイを含む)、クラウン共に適応の材料です。
ジルコニア治療
ジルコニアクラウンを用いた全顎的な治療
※ラミネートベニア、ダイレクトボンディングも併用
特徴
セラミックの一種である、ジルコニア製のクラウンを用いた治療法です。
オールセラミックより強度、耐久性に優れます。当院ではクラウンのみの適応の材料になります。インプラントの上部構造にも用いられます。クラウンの第一選択肢となります。
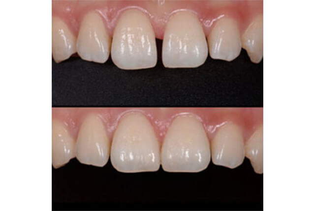
ラミネートベニア
ジルコニアクラウン(右上一番目)とラミネートベニア(左上一番目)を用いた審美治療
特徴
歯の最表層部分のみを切削し、セラミックを接着する手法です。審美的な目的として、歯の形態を変えたり、色調を変えることができます。
適応症は限られますが、歯の切削量が少なく、セラミックの接着性と審美性という特性を最大限に引き出すことができる方法です。
ダイレクトボンディング
すきっ歯(正中離開)をダイレクトボンディングにて即日修復した治療
特徴
コンポジットレジンという、接着性のある材料を直接、歯に詰めて修復する方法です。型取りをする必要がないため、即日での治療が可能です。初発の虫歯や小さな詰め物のやり直し、すきっ歯治療では第一選択肢となります。確実な接着のために確実な接着ステップを行う必要があります。
1
虫歯の除去
表面に見えている虫歯から、深い所まで広がった虫歯を除去し、被せ物を入れるため形を整えます。被せ物の種類によって形は異なります。
2
型取り・仮歯装着
正確な被せ物を作製するために、虫歯を削った歯とその反対側の歯の型取りを行います。(前歯の場合や歯肉の状態が悪い場合は、仮歯を装着します。)
また、前歯やセラミッククラウンなどの場合は歯の色合わせを行います。(仮歯を装着した場合は、後日に再度型取りを行う場合があります)
被せ物の出来上がりは種類によって異なります。(約2週間)
3
被せ物の装着
約2週間後に出来上がった被せ物を、お口の中に装着します。形や噛み合わせに問題がないかを確認しながら、丁寧に調整し装着します。
1
虫歯の除去
表面に見えている虫歯から、深い所まで広がった虫歯を除去し、詰め物を入れるために形を整えます。詰め物の形は種類によって異なります。
2
型取り・仮歯装着
正確な詰め物を作製するために、虫歯を除去し形を整えた歯と、その反対側の歯の型取りを行います。次回の詰め物が入るまで、削った所に仮詰めを行います。詰め物の出来上がりは種類によって異なります。(約2週間)
3
詰め物の装着
約2週間後に出来上がった詰め物を、お口の中に装着します。形や噛み合わせに問題がないかを確認しながら丁寧に調整し装着します。
セラミック治療とは一般的に差し歯などの被せ物や詰め物をセラミック素材で治療することをいいます。セラミックは金属に比べて、アレルギーの心配や、歯や歯ぐきが黒ずむ心配もなく、白さ・透明感といった見た目の美しさや色を選択できることはもちろん、歯に近い強度や汚れが付きにくく虫歯になりづらいといった機能面も兼ね備えた素材です。
またセラミックは天然歯の色味に合わせることで自然な仕上がりを、あるいはより白い色味の仕上がりにするなどを選択頂くことも可能です。もちろんホワイトニングと併用することでご自身の歯+セラミックでお口の歯全体をより白くすることもできます。セラミック治療では写真でのやりとりや技工士さんとの入念な相談でより自分の希望に合ったオーダーメイドの歯を作ることが可能になります。
当院では歯科医師と技工士の連携により、理想に近い歯の形や色に近付いたセラミックを作製することが可能です。
歯の形態や歯茎の形とのバランスを考えベストな被せ物を相談しながら作っていけるので、セラミックに限らず多種多様な被せ物から条件に合うものを選択できます。ホワイトニングとの併用でより理想的な歯を実現できます。
虫歯治療で歯を削った場合、その穴の大きさによって処置が異なってきます。小さな穴を補う場合はコンポジットレジン(詰め物)やインレー(小さな銀歯)となり、虫歯の進行が進み大きく削る場合はクラウン(被せ物)となります。虫歯の進行度によって歯を削る範囲が異なり、詰め物で対応可能なのか、被せ物になってしまうのか決まってくるのです。
詰め物や被せ物には、保険診療と自由診療があります。目立たなくする物、治療費がお手頃な物、ケアがし易く耐久性が望める物など様々なタイプがあります。金属アレルギーのある方は、メタルフリーでの治療などリスク対策も必要です。より自分の状況や希望に合った物を選べるように、それぞれの利点・欠点、適応する状況、金額…先生と相談しながら分からない部分はなんでも聞いてもらえればと思います。
ベストな選択のお手伝いが出来れば嬉しい限りです。
当院では、型取りの際に口腔内スキャナ「Aoralscan3」を導入しています。
口腔内スキャナーは、小型のカメラで口腔内を撮影し、コンピュータ上でお口の状態を3D化します。360度、肉眼では見えにくい部分も確認しやすくなり、より精密な型取りが期待できます。またスキャンAIが導入されているため、スキャンに要する時間がなんと片顎20秒以内、全顎で1分以内と非常に高速なため患者様の負担軽減や治療時間も短縮できます。
※従来の印象材を使用しないため嘔吐反射が強い患者様でも快適に治療できます。
| 保証上限金額 | 50,000円 |
|---|
※医院保証はございません。再治療が必要となった場合は全額患者様のご負担となります。
※再治療時は、治療費より最大50,000円をガイドデント社がご負担致します。
保証対象例
保証プラン詳細
| 保証料 | 11,000円(税込)/1歯あたり |
|---|
| 90日間 | 91日目〜5年目 | |
|---|---|---|
| ガイドデント保証 | ⚪︎ 医院保証 |
⚪︎ ガイドデント保証 |
| 医院保証 | × 再治療時は全額患者様のご負担 |
|
保証をつけるかどうかは患者様に選択して頂くようになります。
また保証適応の条件として定期検診・口腔ケアのご協力が必要となります。