- 最近、固いものが噛めない
- 奥歯がないので、他の歯で噛んでいる
- 入れ歯があっていない(痛い)
- 他院で治療が難しいと言われた
インプラント
Implant
インプラント
Implant
インプラント治療とは、歯を失った箇所に人工の歯根(インプラント)を埋入し歯を補う治療法です。従来は、歯を失った治療法としてブリッジや入れ歯が一般的でしたが、近年はインプラント治療を希望される患者様が増えています。
隣の歯に装置がかからないので、単独で歯の修復が完了します。
噛む力を顎の骨が直接受け止めるので、他の歯に過剰な負担がかかるのを防ぐことができます。
入れ歯のような留め具がないので、自分の歯と同じような感覚が得られます。
「歯ぐきから歯が生えている」状態を再現できます。
1
治療前の検討
レントゲン写真や歯周病検査の記録、歯型の模型などをもとに、どの位置に何本インプラントが必要かを検討します。
2
3Dシミュレーション
CT撮影等を行い、顎の骨がインプラントに適した状態か、どのインプラントをどういった術式で埋入すべきか等をシミュレーションします。
3
検査結果を元にカウンセリング
①②で得た資料とシミュレーションをもとに、インプラントの治療計画を作成し、患者様の希望も聞きながら最適なプランをご提案します。また、この時点で詳細な料金のお見積もりや、治療にあたっての細かい注意事項をご説明し、患者様の意思の再確認を行います。
4
サージカルガイドの作製
必要に応じて、3Dプリンターを用いてサージカルガイドを作成します。サージカルガイドは穴のあいたマウスピースのような装置で、ガイドを用いるとCTシミュレーション上のインプラントの位置・角度を実際の口の中で正確に再現することができます。
5
インプラント手術
インプラントを入れる手術を行います。支えとなる骨が不十分な場合は、他部位の骨や人工骨を移植する術式などを併用することもあります。手術は1回法と2回法があり、1回法ではインプラントの頭のパーツが歯ぐきから見えている状態で手術を終えますが、2回法の場合は歯ぐきの中にインプラントを埋めてしまって治りを待ちます。
6
インプラントと骨の結合
インプラントが周囲の骨と結合するのを待ちます。患者様の骨の状態にもよりますが、2~6ヶ月くらいの期間がかかります。
7
二次手術(二回法の場合のみ)
歯ぐきを再度切開して、インプラントの頭の部品を取り付けます。
8
仮歯の作製
型取りを行い、仮歯(チタンの芯+プラスチック)を取り付けます。この際に、かみ合わせや舌の違和感、頬を噛むなどといった問題がないかを確認し、調整します。
9
被せ物の装着
再度型取りを行い、最終的な人工の歯を取り付けます。
10
メンテナンス
清掃方法の指導をさせて頂き、定期的なメンテナンスで管理していきます。
※インプラントはメンテナンスが重要です。
インプラントのメンテナンスでは、通常の歯のクリーニングに加えて、以下のようなことを行います。インプラント周囲炎等の有無の診断(視診、触診、レントゲン検査、ポケット検査など)
※インプラントの清掃法の再確認と指導方法をお伝えします。
専門器具(エアフローなど)を使った、インプラントと歯ぐきの境目のクリーニングを行います。必要に応じて、人工歯を外しての確認と消毒清掃を行います。
GBR(Guided Bone Regeneration/骨誘導再生法)は、インプラント治療などで不足している骨を再生・補填するための手術法です。特に「骨が足りないためにインプラントが安定しない」場合に行われる、非常に重要な補助的治療です。
「インプラントフラップレス(Flapless)」とは、歯茎を切開せずにインプラントを埋入する手術法です。通常のインプラント手術では、歯肉を切開して骨を露出させる「フラップ法」が用いられますが、フラップレスはそれを行わず、小さな穴(パンチ)だけでインプラントを埋入するのが特徴です。
1.術前

2.歯肉パンチング

3.インプラント埋入後

4.ヒーリングアバットメント装着後

5.上部構造Set後

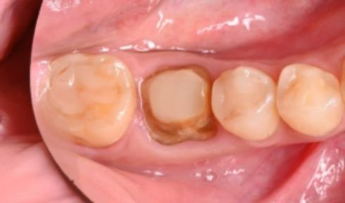
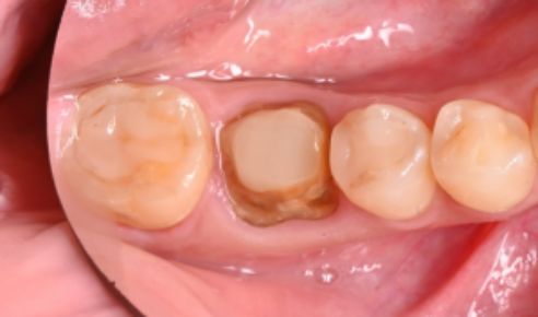
Before
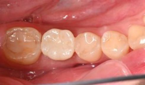
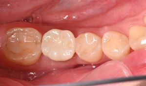
After
「インプラント抜歯即時埋入法(Immediate Implant Placement)」は、歯を抜いたその日にインプラントを埋入する治療法です。通常は抜歯後に数ヶ月待ってからインプラントを入れる「待時埋入」が主流ですが、即時埋入では抜歯直後の空洞(抜歯窩)にそのままインプラントを入れることで、治療期間を短縮することができます。
1.術前

2.抜歯後

3.インプラント埋入後

4.縫合後

5.上部構造Set後

Before
After
インプラントの成功率は10年で90%を超えますが、残念ながら100%ではありません。被せ物が割れてしまったり、インプラント周囲炎でインプラント体が抜け落ちてしまうなど、決して多くはありませんがトラブルもあります。そこで当院は、ガイドデント(自費診療・特にインプラント向けの保証サービスを提供している会社)と提携しております。